Ako ne jedete jogurt svaki dan, počnite! Može smanjiti rizik od ove vrste raka Zdravlje | 7. stu. | 0
Uspjeh hrvatskih i kanadskih znanstvenika: Tri potencijalna lijeka za rak pluća Znanost | 25. velj. | 0
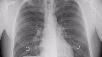
"Nije točno da se od sutra može doći na pretrage za rano otkrivanja raka pluća" Vijesti | 16. sij. | 0
Kreće program otkrivanja raka pluća, poziv na pregled svima iz rizične skupine Vijesti | 12. ožu. | 0