
Više od 2.500 ljudi godišnje u Hrvatskoj oboli od raka pluća. Ove porazne brojke još su gore kada je vidljivo da smo po tome među najgorima u Europi.
U Hrvatskoj je rak pluća najčešći oblik raka kod muškaraca, a drugi po redu kod žena. Rak pluća najčešći je uzrok smrti, a vrlo se teško dijagnosticira i slabo liječi. Broj oboljelih je svake godine u porastu unatoč kampanjama i programima prevencije pušenja.
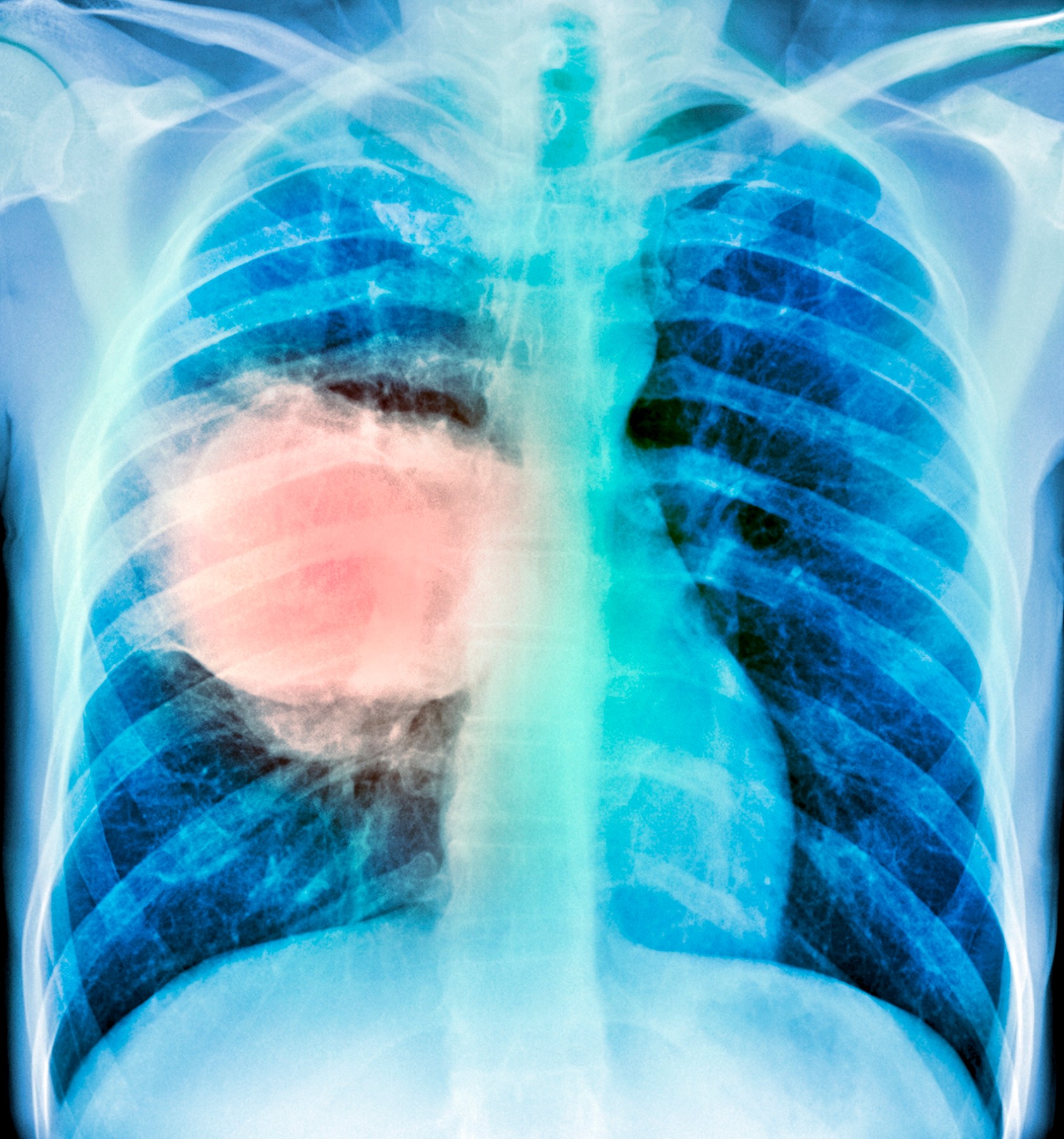
Kako nastaje rak pluća?
Za razvoj raka pluća zaslužni su brojni čimbenici, a najvažniji je pušenje, odnosno konzumiranje nikotina. Nikotin ili duhan je sam po sebi toksičan, a u cigaretama i drugim proizvodima za pušenje poput e-cigarete, nalaze se brojni kemijski spojevi.
Ti spojevi, kojih može biti više od nekoliko tisuća u jednoj cigareti su iznimno kancerogeni. Djeluju tako da uništavaju stanice i izazivaju promjene u DNK. Te promjene tada mogu postati zloćudne.
U prilog tim podacima ide da više od 90 posto bolesnika s rakom pluća su pušači. Jasna je i čvrsta znanstvena povezanost kod osoba koje dugo i puno puše s rakom pluća. Sam karcinom najčešće nastaje u epitelnim stanicama, stanicama sluznice dišnih puteva. Stoga se u nekoj literaturi naziva i rakom bronha.
Konkretno, ovo pokazuju podaci:
- osobe koje puše od 1-14 cigareta dnevno imaju osam puta veći rizik za razvijanje raka pluća od nepušača
- osobe koje su pušile dvije kutije cigareta na dan 10 godina imaju jednak rizik kao osobe koje su pušile kutiju dnevno 20 godina
- osobe koje puše 25 ili više cigareta dnevno imaju 25 puta veći rizik za razvijanje raka pluća
- rizik od raka pluća smanjuje se tek nakon oko 15 godina nakon prestanka pušenja
- pasivno pušenje je gotovo jednako opasno kao aktivno (pasivni pušači imaju 25 posto veće šanse za razvijanje karcinoma pluća od potpunih nepušača)
- bivši pušači imaju velik rizik za razvoj bolesti pluća i raka
Dok podatak da više od 90 posto bolesnika s rakom pluća su pušači zabrinjava, još više je važna činjenica da je jednak postotak onih bolesnika kod kojih je rak pluća mogao biti preveniran. U svijetu je kod oko sedam posto oboljelih uzrok zagađenje zraka ili rad s kemikalijama koje utječu na razvoj raka. U Hrvatskoj oko 30 posto nepušača koji vode zdrav život razvija rak pluća, a uzrok su mutacije, zagađenje u okolišu, kemikalije u industriji i slično. U našoj zemlji, pokazuju podaci Hrvatske lige protiv raka, gotovo 70 posto ljudi s ovim rakom su stariji od 65 godina.
Osim raka pluća, cigarete mogu izazvati tumor u gotovo svakom organu tijela.
https://youtu.be/koHX6v2CheQ
Simptomi raka pluća
Velik broj oboljelih od raka prekasno dolazi do liječničke pomoći čemu u prilog ide podatak da su neki bolesnici mnogo ranije mogli prevenirati bolest. Simptomi raka pluća mogu se u početku zamijeniti za druge, manje opasne bolesti pluća i respiratornog sistema. To je jedan od razloga zašto se rak pluća obično otkriva rutinskim pregledom ili snimkom pluća.
Kako biste spriječili katastrofu, prvo prestanite pušiti, a onda obratite pozornost imate li neke od ovih simptoma.
Ovo sunajčešći rani simptomi raka pluća:
- dugotrajni kašalj
- dugotrajni kašalj s iskašljavanjem krvavih tragova
- neprestane kronične infekcije koje napadaju pluća i respiratorni sistem
- nagli gubitak kilograma
- bolovi u zglobovima i kostima, slabost u mišićima
- pojačan i neobjašnjiv umor
- osjećaj boli u području pluća koja se pojačava kod pričanja, smijanja, kašljanja
- gubitak daha, manjak zraka kod napora, osjećaj gušenja
- zvuk prilikom ispuhivanja zraka
Osim navedenih, postoje i simptomi raka pluća koji nisu tako uobičajeni ni česti, ali ukazuju na postojanje bolesti ili nekih poteškoća. Riječ je o ranim simptomima raka pluća koje su pacijenti primijetili. To su:
- bolovi u ramenu, ruci i rebrima na istoj strani
- promjena boje i dubine glasa (rak pluća može pritiskati živac koji utječe na boju glasa, makar isto može biti uzrokovano i laringitisom ili drugim plućnim bolestima)
- problemi s ravnotežom
- debljanje vrhova prstiju ruke i nokti koji počinju rasti prema dolje (oblik žlice)
- iznimna žeđ i potreba za uriniranjem
- bol u želucu, zatvor, mučnina
- oticanje lica, vrata ili ruku
- otečene dojke kod muškaraca
- demencija, depresija, anksioznost
Kod svih navedenih simptoma obratite pozornost i po potrebi se obratite liječniku te savjetujte s njim. Ovo je posebno bitno kod osoba koje su pušači. Rak pluća nije lako dijagnosticirati jer ne postoji jasan simptom koji će ukazati na početak razvijanja raka.
Iskustva osoba s rakom pluća
Tijek raka pluća, liječenje i simptomi mogu se razlikovati od pacijenta do pacijenta. Svatko od njih prolazi kroz svoje putovanje koje je vrlo teško. Za Zakladu za istraživanje raka pluća su neki pacijenti podijelili svoje iskustvo koje prenosimo u nastavku.
Neke definitivno mogu dati optimizam ljudima koji su bolesni.
"Dijagnosticiran mi je rak pluća u ožujku 2018. Konkretno, adenokarcinom s metastazama u mozgu, kralježnici, kostima i limfnim čvorovima. Nakon dijagnoze sam dobila zračenje mozga. Tada sam imao jedan krug imunoterapije dok sam čekala rezultate biopsije što je potvrdilo pozitivnu mutaciju EGFR -a. U tom sam trenutku prebačena na terapiju koju svakodnevno uzimam. Još jedan krug zračenja sam dobila 2020., a u 2021. sam udvostručila dozu terapije zbog metastaziranja karcinoma u kralježnicu. Moji su izazovi, začudo, bili minimalni. Nastavila sam živjeti svoj život, a najveća podrška bili su mi suprug te moja vjera i pozitivan stav. Vaša dijagnoza nije smrtna kazna", rekla je Rhonda Martin.
"Nakon dijagnoze, 13 tjedana oralne kemoterapije, 37 rundi radijacije i šest dodatnih terapija sam u osam mjeseci došao s 25 posto šanse preživljenja do izlječenja. Ovo je bilo moguće samo zato što sam dobio pravilnu dijagnozu na vrijeme, čim sam primijetio simptome. I dalje imam rak pluća, ali znam da mogu živjeti uz terapiju. Moja priča nije unikatna", rekao je Steve Shelton.
Liječenje raka pluća
Zbog toga što se rijetko dijagnosticira na vrijeme, rak pluća može imati poguban ishod za bolesnika. Za dijagnozu se mogu koristiti CT, MR, PET snimanje, RTG i sken kostiju. Osim toga se može raditi citologija iskašljaja kako bi se potvrdilo postojanje malignih stanica te bronhoskopija kojom se ispituju dišni putevi.
Međutim, preživljavanje bolesnika postaje sve duže te postoje bolesnici koji s ovim rakom i bez liječenja mogu živjeti godinama, no to je iznimka. Stopa preživljenja kod osoba kod kojih se karcinom pluća otkrije u ranoj fazi je do 90 posto.
Rak pluća je skup bolesti i tumora s različitim uzrocima zbog čega se mora tako i tretirati. Svako liječenje je personalizirano jer rak nerijetko obuhvati i druge mehanizme u tijelu. Ovaj karcinom ima tendenciju širenja i metastaziranja vrlo rano nakon formiranja zbog čega je vrlo opasan za život. Najčešće metastazira na nadbubrežne žlijezde, jetru, mozak i kosti.
Bolesnici s rakom plućau Hrvatskoj danas imaju mogućnost liječenja s lijekovima za rak pluća koji doprinose produženju preživljenja. Riječ je o ciljanim, pametnim lijekovima zbog kojih su do sada pacijenti duže živjeli s rakom. Prije nekoliko godina se u Hrvatskoj počela primjenjivati i imunoterapija koja potiče tijelo da se bori protiv karcinoma.
Liječenje karcinoma pluća uključuje radijacijsku terapiju, imunoterapiju, ciljanu terapiju, operaciju i/ili kemoterapiju. Liječenje će ovisiti o stupnju zahvaćenosti.
Svake se godine otkrivaju lijekovi kojima se može usporiti tijek bolesti.
N1 pratite putem aplikacija za Android | iPhone/iPad i društvenih mreža Twitter | Facebook | Instagram.
Kakvo je tvoje mišljenje o ovome?
Pridruži se raspravi ili pročitaj komentare