
U Poliklinici Medikol u Zagrebu i Splitu možete bez čekanja obaviti najdetaljnije snimanje na suvremenim MR uređajima jakosti magnetskog polja 3 Tesle. Koristi se za dijagnostiku mozga, glave, vrata, kralježnice, koštanog sustava, svih unutarnjih organa, te krvnih žila, a osobito se preporuča u dijagnostici bolesti prostate i dojki.
Oglas
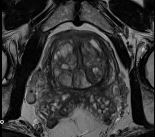
Magnetska rezonancija prostate
Posljednjih nekoliko godina zahvaljujući razvoju tehnologije magnetska rezonancija (MR) dovodi do revolucije u dijagnostici raka prostate te kulminira izmjenama smjernica dijagnostike raka prostate Europskog urološkog udruženja (EAU).
MR bi se u muškaraca s indikacijom za biopsiju prostate praktički trebao učiniti prije same biopsije, a osobito u onih koji su već imali jedan negativan nalaz biopsije. Kako bi MR bio adekvatno izveden članovi EAU i Američkog udruženja radiologa (ACR) preferiraju pregled prostate na MR uređajima snage 3 Tesle dok su uređaji snage od 1,5 Tesla rezervirani za muškarce s implantatima koji nisu kompatibilni s MR od 3T ili za one s implantatima koji svojom pozicijom mogu utjecati na kvalitetu slike (npr. implantati u području kuka).

Magnetska rezonancija dojke
MR dojki se obično preporučuje kod nejasne dijagnoze nakon mamografskog i ultrazvučnog pregleda te u žena povišenog rizika raka dojke. Također, sve je veći broj pretraga koje se traže i nakon već dijagnosticiranog karcinoma.
Jakost uređaja nove generacije, snage 3 Tesla, bitno utječe na sve parametre snimanja, uključujući kvalitetu slike te vrijeme trajanje dijagnostičkog postupka. Neizmjerno su bitne neke razlike u osjetljivosti detekcije karcinoma dojke u slučajevima rane faze bolesti. U komparaciji s uređajima jakosti 1,5 Tesla, nema bitnijih odstupanja prikaza veličine tumorske tvorbe, no postoji značajna razlika u jačini signala kojom se takva tvorba prikazuje - intenzivnijeg je prikaza na snimkama pojedinih faza snimanja. Viša rezolucija bitnija je također kod registriranja rubova tvorbe koji će kod svih promjena, dobroćudnih i zloćudnih, biti jasnije definirani, a što je neophodno za sigurnost pri postavljanju dijagnoze nakon MR-a.

Magnetska rezonancija učinjena na uređaju jakosti 3T pomaže u predoperativnoj obradi žena s novootkrivenim karcinomom dojke. Dijagnostička pretraga je relativno brza, osjetljivija u odnosu na jačinu uređaja jakosti 1,5T, a žene nisu izložene zračenju.
Za više informacija ili rezervaciju termina javite se direktno u Polikliniku Medikol pozivom na broj 0800 78 78 ili online na https://medikol.hr/magnetska-rezonancija/.
N1 pratite putem aplikacija za Android | iPhone/iPad | Windows| i društvenih mreža Twitter | Facebook | Instagram.
Kakvo je tvoje mišljenje o ovome?
Pridruži se raspravi ili pročitaj komentare
Oglas
Kakvo je tvoje mišljenje o ovome?
Pridruži se raspravi ili pročitaj komentare
Oglas
NAJČITANIJE
Oglas
Oglas
Najnovije
Oglas
Oglas