Čudo medicine: Beba "predator" se iskrala iz maternice

Poznati medicinski časopis "New England Journal of Medicine" objavio je zanimljiv slučaj "bebe predatora", koja je "uhvaćena" kako je pola tijela progurala iz maternice.
Oglas
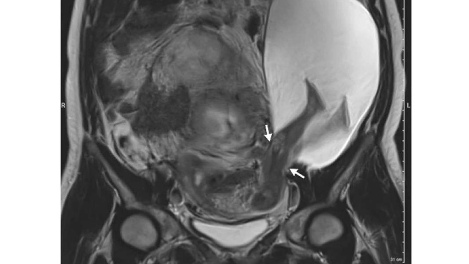
Kako se navodi, fetus je uspio progurati dio tijela proz maternicu svoje majke, i tako živi djelomično dodirujući njene unutarnje organe. Ono što je divno u cijeloj priči - svi su zdravi i živi.
Majka stara 33 godine otišla je na rutinski pregled kada su doktori na snimci otkrili ovu rijetku pojavu. Medicinsko osoblje u Sveučilišnoj bolnici u Francuskoj kažu da nikada nisu vidjeli ovakav slučaj.
Doktori kažu da je pacijentica imala već pet carskih rezova tako da je moguće da su ožiljci na maternici mogući uzrok toga da se ona rascijepala.
Majka nije imala simptome, odnosno nije ni osjetila kada i kako se to dogodilo.
Ovakva pojava se događa veoma rijetko, u 5 slučajeva na 1.000 trudnica koje su imale carski rez. Nažalost, ovo može biti veoma opasno za majku i dijete, ali srećom u ovom slučaju nitko nije ozlijeđen. Majka je operirana, a šest meseci kasnije rođen je dječak koji će kad odraste imati zanimljivu priču o tome kako je rođen.
N1 pratite putem aplikacija za Android | iPhone/iPad | Windows| i društvenih mreža Twitter | Facebook | Instagram.
Kako se navodi, fetus je uspio progurati dio tijela proz maternicu svoje majke, i tako živi djelomično dodirujući njene unutarnje organe. Ono što je divno u cijeloj priči - svi su zdravi i živi.
Majka stara 33 godine otišla je na rutinski pregled kada su doktori na snimci otkrili ovu rijetku pojavu. Medicinsko osoblje u Sveučilišnoj bolnici u Francuskoj kažu da nikada nisu vidjeli ovakav slučaj.
Doktori kažu da je pacijentica imala već pet carskih rezova tako da je moguće da su ožiljci na maternici mogući uzrok toga da se ona rascijepala.
Majka nije imala simptome, odnosno nije ni osjetila kada i kako se to dogodilo.
Ovakva pojava se događa veoma rijetko, u 5 slučajeva na 1.000 trudnica koje su imale carski rez. Nažalost, ovo može biti veoma opasno za majku i dijete, ali srećom u ovom slučaju nitko nije ozlijeđen. Majka je operirana, a šest meseci kasnije rođen je dječak koji će kad odraste imati zanimljivu priču o tome kako je rođen.
N1 pratite putem aplikacija za Android | iPhone/iPad | Windows| i društvenih mreža Twitter | Facebook | Instagram.
Kakvo je tvoje mišljenje o ovome?
Pridruži se raspravi ili pročitaj komentare
Oglas
Kakvo je tvoje mišljenje o ovome?
Pridruži se raspravi ili pročitaj komentare
Oglas
NAJČITANIJE
Oglas
Oglas
Najnovije
Oglas
Oglas